Dental Fillings: What Should You Expect?

dental fillings what should you expect

“You have a cavity.”

Those are four words no one wants to hear at the dentist. Many people get nervous and stressed out just thinking about going to the dentist to get their problems fixed. Their heads are reeling with images of loud, excruciating drills.

The good news is that dental restorations have advanced significantly over the past several years. Getting a cavity filled can be nerve-wracking, but knowing what to expect can help calm your nerves.

What Exactly is a Dental Filling?

Commonly known as fillings, dental restorations involve the replacement of a decayed tooth structure. Dental fillings in Mill Bay are used to restore decayed teeth or teeth that have been damaged by trauma or wear. A dental assistant helps remove excess saliva and debris from your mouth during the filling process, which a dentist performs.

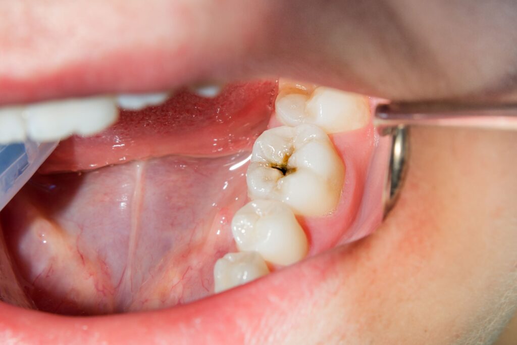
Signs and Symptoms That Indicate the Need for Dental Fillings

Decay or damage to teeth are usually the first warning signs that you require dental fillings. Here are a few telltale signs:

  • Tooth Sensitivity

Tooth decay may be the cause of toothaches that come on suddenly or for no apparent reason, particularly after ingesting hot, cold, sweet, or acidic foods and drinks.

  • Toothache or Pain

When biting down on food, discomfort or pain may indicate a problem with a tooth that must be addressed with a filling.

  • Visible Cavities or Holes in Teeth

If you look at your teeth and notice any pits, holes, or dark patches, this could be an indication that you have decay or cavities.

Teeth that are chipped or cracked can leave the inner layers of the tooth vulnerable to microorganisms, which can lead to decay.

Breaking Down the Treatment

Dental fillings near you are used to heal teeth that have been damaged by disease or fractures and are a common dental therapy. It usually entails a multi-stage process. The dentist uses a local anesthetic to numb the area before any work is done.

The affected area of the tooth is then drilled out or sterilized with a laser. The dentist prepares the tooth and then fills the cavity with a composite resin, amalgam, or porcelain after the tooth has been prepared.

The filling is sculpted and polished so that it blends in seamlessly with the surrounding tooth structure. The treatment as a whole doesn’t take too long, and it can save a tooth from future decay or damage while making it strong and effective again. Filling-related problems must be caught early and treated by a dentist in Mill Bay.

Aftercare and Recovery

Care and rehabilitation following medical treatments are essential to the patient’s health and safety. Guidelines are implemented to facilitate recovery and lessen the likelihood of adverse outcomes.

The patient’s vital signs must be monitored, pain and discomfort must be managed with medicine, and dietary and activity limits must be followed. Physical therapy or rehabilitation may be required to restore mobility and function in some circumstances.

During the healing process, it is essential to pay attention to both emotional and mental health. Appointments with healthcare providers at intervals to check in on progress and address any worries are crucial.

A patient’s health, mobility, and quality of life all improve with good post-operative care since it lessens the likelihood of problems and makes the return to regular life easier.

Benefits of Getting a Dental Filling

There are a number of ways in which dental fillings can improve oral health and prevent further tooth problems, including:

  • Restoring Tooth Functionality: Fillings are used to restore the natural structure and strength of teeth that have been broken or worn down as a result of tooth decay, fractures, or wear and tear.
  • Preventing Further Decay and Damage: When cavities are filled by a dentist near you, the afflicted region is sealed up, preventing bacteria from doing any additional damage to the tooth. This stops tooth decay from spreading from one tooth to another.
  • Enhancing Aesthetics: Utilizing tooth-coloured fillings made from substances like composite resin, which can seamlessly blend in with real teeth, can enhance the appearance of your smile.

Trust Our Professionals with Your Smile

Cavity formation is a common oral health issue. Fortunately, it has never been simpler to effectively address this and get your smile back to functioning correctly.

Here at Mill Bay Dental, our staff would be honored to help you restore your smile, whether you’re dealing with tooth decay, would like to enhance the appearance of your teeth or need a more complex service. Choose us as your go-to dental service provider.

We look forward to seeing you very soon!

604-256-9851